Achieve The ideal Alignment
مع
تقويم شفاف (ايون)
ادخل إلى عالم تقويم الأسنان المتقدم في عيادة ليفانتين لطب الأسنان في دبي. يوفر نظام EON Aligner الخاص بنا حلاً سريًا ومريحًا وفعالًا لابتسامتك. يديرها أطباء أسنان خبراء ، EON Aligners هي مفتاحك للحصول على ابتسامة متناسقة تمامًا.
تقويم الأسنان الشفافة في دبي
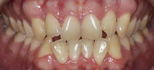
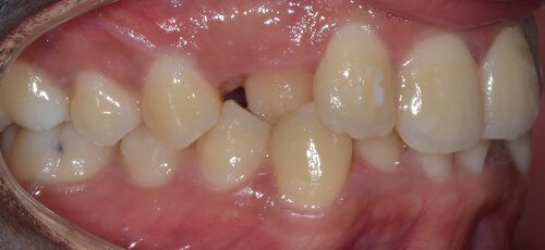
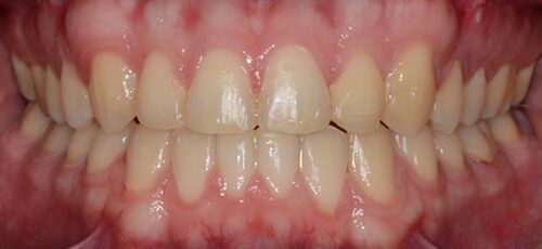
تقويم الأسنان شفاف وقابل للإزالة يعمل على تقويم الأسنان ومواءمتها ، مما يجعل علاج الأسنان أكثر متعة وصحة. إنها بديل مثبت سريريًا لتقويم الأسنان وتقدم خطط علاج مخصصة باستخدام مواد فائقة الجودة. تنجح تقويمات ايون في علاج سوء الإطباق ويمكن ارتداؤها لمدة أسبوع أو أسبوعين. سيقوم أطباء الأسنان بشكل دوري بتقييم التقدم المحرز وتوفير أدوات تقويم جديدة.
- غير مرئ
- قابل للإزالة
- مريح
ماهي فوائد تقوم إيون
دعامات واضحة وغير قابلة للكشف
- مادة واضحة وغير قابلة للاكتشاف ، مما يسمح بمعالجة سرية.
- قابل للإزالة ، مما يجعل تنظيف الأسنان سهلاً.
- بنفس فعالية الأقواس التقليدية في علاج سوء الإطباق.
- أحدث التقنيات لعلاج مريح وفعال لسوء الإطباق.
كيفية عمل تقويم إيون الشفاف
يقوم تقويم إيون الشفاف بتغيير موضع الاسنان تدريجا ، وتحتوي خطة علاج كل مريض على عدد محدد من تقويمات إيون الشفاف بحسب توصية أخصائي تقويم الاسنان لتصحيح اسنان المريض واستقامتها.
- 20 عاماً من الخبرة
- مزود معتمد لتقويم EON الشفاف
- مزود معتمد لإنفزلاين®
- مزود Incognito ™ المعتمد
استشاري تقويم أسنان بارع حاصل على درجة الماجستير في تقويم الأسنان من الكلية الجامعية الأوروبية وحاصل على شهادة تخصص من جامعة مالمو المرموقة في السويد ، المشهورة بتميزها في مجال تقويم الأسنان. امتثالاً للمعايير الصارمة التي وضعها المجلس الوطني السويدي ، اكتسب الدكتور عامر ثروة من الخبرة تمتد لأكثر من 20 عامًا في هذا المجال المتخصص في طب الأسنان.
لماذا إيون؟
هناك العديد من الأسباب التي تجعلك تستخدم مصفف إيون. بديلاً عن أنواع التقويم الأخرى مثل التقويم المعدني، الخزفي، إنكوجنيتو، أو التقويم اللساني
أسئلة متكررة
يصنع مقوم EON من مادة "بولي يوريثان" المصنفة طبياً والمعتمدة من "إدارة الأغذية والعقاقير" حيث تمتد قوتها المحركة لفترة أطول مما يسهل من حركة الأسنان.
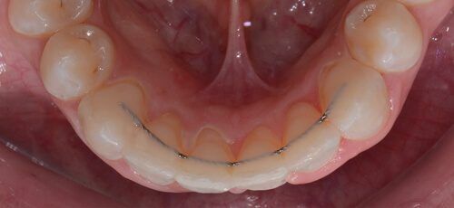
قد تميل أسنانك إلى العودة إلى وضعها الأصلي قليلاً بعد انتهاء فترة العلاج. يتضمن العلاج الكامل بمقوم EON استخدام مصفف مثبت بعد انتهاء المدة العلاجية والذي نوصي بارتداءه لمدة محددة طبقاً لحالتك لتجنب أي تحرك غير مرغوب فيه للأسنان.
مرة أخرى سنذكر أن لكل حالة وضع مختلف، ولكننا نوصي بشكل عام بزيارة الطبيب كل 4-8 أسابيع للتأكد من أن العلاج يسير بالشكل المخطط له.
إن تركيب المرتكزات وعمل البرد التلاصقي هما عمليتان شائعتان في طب الأسنان تساهمان في العملية العلاجية بالتقويم. قد يحتاج أطباء الأسنان في بعض الحالات إلى عمل تحركات للأسنان الصغيرة والتي تكون ذات حجم لا يسمح بالتحكم الكافي للتثبيت. هنا يمكن للمرتكزات أن تساعد المصففات على عمل القوة اللازمة لتحريك الأسنان، حيث يتم لصق هذه القطع الصغيرة من المركبات الملونة بلون المينا على سطح الأسنان ثم يتم تثبيتها إلى المصففات. أما عملية البرد التلاصقي فيتم اجراؤها عندما يرغب الطبيب في عمل مسافة بين الأسنان لتسهيل الحركة، وذلك عن طريق عمل تسوية لأسطح الاتصال.
تختلف مدة العلاج على حسب كل حالة، ولكن متوسط فترة العلاج تكون 13 شهر بالمصففات الشفافة. وبمجرد انتهاء العلاج سيتحتم عليك ارتداء مثبت ليلاً لمدة محددة على حسب حالتك.
كلما ارتديت مصففات إيون لفترات أكثر كلما كانت النتائج أفضل. يعمل المرضى في عيادتنا على ارتداء المصففات لمدة 22 ساعة على الأقل يومياً، حيث يتم ازالتها عند تناول الطعام أو تنظيف الأسنان بالفرشاة أو بالخيط فقط.
إن عملية تنظيف مقومات إيون سهلة، فيمكنك تنظيفها مرة واحدة يومياً باستخدام فرشاة أسنان ناعمة مع الماء في وقت غسلك لأسنانك، وذلك لمنع حدوث رائحة غير مرغوب فيها ولمنع تلونها.
لا، فإن مقومات إيون لها سمك 0.3 مم ويتم تخصيص كل مصفف طبقاً لخطتك العلاجية، ولن تؤثر على طريقة كلامك.



