The ideal Alignment
مع
التقويم المعدني والكريستالي
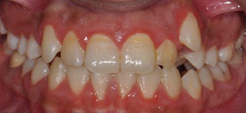
ادخل إلى عالم تقويم الأسنان المتقدم في عيادة ليفانتين لطب الأسنان في دبي. يقدم التقويم المصنوع من السيراميك والمعدن حلاً قويًا وفعالًا وشخصيًا لابتسامتك. يديرها أطباء أسنان خبراء ، هذه الدعامات هي مفتاحك للحصول على ابتسامة متماسكة وواثقة تمامًا.
التقويم المعدني والكريستالي
عند تقييم العديد من خيارات علاج تقويم الأسنان المتاحة الآن ، فإن أحد الأسئلة الرئيسية التي نطرحها كثيرًا هو: ما الفرق بين التقويم المعدني و التقويم الكرستالي؟
في حين أن هذين الخيارين العلاجين لهما الكثير من القواسم المشتركة ، إلا أنهما لهما أيضًا الكثير من الاختلافات ، مثل المظهر والاستخدام والتكلفة. استمر في القراءة لاكتشاف المزيد حول خيارات العلاج هذه واختيار الأفضل بالنسبة لك.
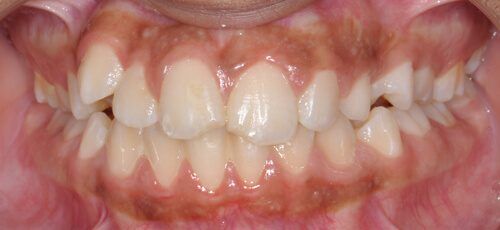
تقويم السيراميك
نظرًا لأن التقويم الكرستالي له تصميم مشابه للتقويم المعدني العادي ، فإنها تؤدي أداءً مشابهًا. على الرغم من أن فترات العلاج قد تكون أطول ، إلا أنها يمكن أن تعالج نفس أنواع سوء الإطباق المعقدة. علاوة على ذلك ، فهي تساعد في تصحيح اللدغات الرهيبة.
البالغون الذين يختارون علاجًا بديلاً أقل وضوحًا من التقويم التقليدي مغرمون بشكل خاص بتقويم السيراميك. الأجهزة دقيقة وفعالة على حد سواء لأنها مصنوعة من مواد شفافة أو بلون الأسنان. قد تكون الدعامات الكرستالية أيضًا بديلاً أفضل إذا كنت تعاني من حساسية تجاه المعادن ولكنك تحتاج إلى علاج تقويم الأسنان لإكمال حركات الأسنان المعقدة ، مثل تحريك السن بلطف إلى أسفل في المحاذاة
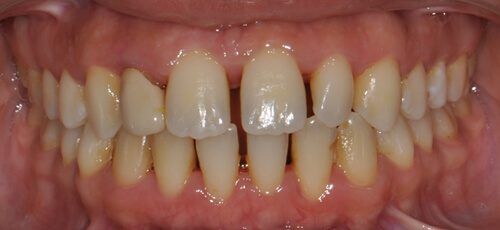
التقويم المعدني
الاختلافات بين التقويم المعدني والكريستالي
التقويم السيراميكي والمعدني يتميزان بمظهر مختلف. التقويم المعدني ملحوظ كما ذكرنا سابقاً. عندما يقوم شخص ما بوضع تقويم الأسنان لتصحيح الأسنان، تكون الأربطة المطاطية والأقواس مرئية من مسافة بعيدة. من ناحية أخرى، فإن الأقواس الخزفية غير قابلة للاكتشاف تقريبًا. يمكن أن تكون شفافة أو ملونة لتتناسب مع لون أسنانك. من الصعب أن ترى أنك ترتدي تقويم الأسنان من مسافة بعيدة.
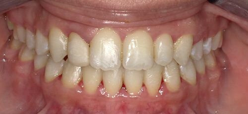
المتانة
التقويم المعدني قوي ويمكنه تحمل الكثير من الضغط دون أن تنكسر أو تحتاج إلى الإصلاح. من ناحية أخرى ، تعتبرالتقويم الكرستالي قصة مختلفة. إنهم معرضون للأذى إذا مارست عليهم الكثير من الضغط. لا يُنصح باستخدام الأقواس الخزفية إذا كنت تشارك في نشاط عالي الكثافة حيث يتعرض فمك لضغط مفرط ، مثل الملاكمة. قد تكون صيانة الأقواس الخزفية مكلفة للغاية
القوة
لا يزال التقويم المعدني هو الأقوى. التقويم الكريستالي متين ، على الرغم من أنه ليس قوي مثل تقويم الأسنان المعدني
د. عامر نحاس
- 20 عاماً من الخبرة
- مزود معتمد لتقويم EON الشفاف
- مزود معتمد لإنفزلاين®
- مزود Incognito ™ المعتمد
استشاري تقويم أسنان بارع حاصل على درجة الماجستير في تقويم الأسنان من الكلية الجامعية الأوروبية وحاصل على شهادة تخصص من جامعة مالمو المرموقة في السويد ، المشهورة بتميزها في مجال تقويم الأسنان. امتثالاً للمعايير الصارمة التي وضعها المجلس الوطني السويدي ، اكتسب الدكتور عامر ثروة من الخبرة تمتد لأكثر من 20 عامًا في هذا المجال المتخصص في طب الأسنان.
أسئلة متكررة
قد يكون األمر مزعجا خلال األيام األومى، ومكن اعد مرور أسبوع سوف تعتاد على ارتداء تقويم الاسنان في أي وقت من األوقات.
اقرأ المزيد عن هل تقويم الأسنان مؤلم
كيد نعم. إذا مم تقم اذمك ، فقد تعود أسنانك إمى وضعها األصلي .
لست مضطرًا لاتباع نظام غذائي خاص ، ولكن الأفضل هو اتباع نظام غذائي صحي. إذا كان لديك تقويم تقليدي ، يمكنك أن تأكل معظم ما تتناوله تفعل عادة. ومع ذلك
، يجب تجنب الأطعمة اللزجة ، مثل والأطعمة الصلبة مثل التفاح. يمكن للأطعمة اللزجة والصلبة تتلف الأقواس وتجعل العناية بالفم أكثر صعوبة. يوجد لا توجد قيود غذائية على المحفزات لأنك تخرجهم متى انت تأكل.
الأقواس المعدنية التقليدية هي أقواس مثبتة في الأمام للأسنان بمادة لاصقة ومتصلة بسلك. عندما انت تعال لمتابعة المواعيد أثناء العلاج السلك تم تشديده للمساعدة في تقدم تحسين المحاذاة من أسنانك. تعمل الأقواس الكريستالية أو الخزفية بطريقة مشابهة جدًا لـ الأقواس التقليدية. يتم وضع قوس على سنك و الأقواس متصلة بواسطة سلك يتم إحكامه عند المتابعة تعيينات. الفرق بين الأقواس الخزفية و الأقواس المعدنية هي اللون. تسمى الأقواس الخزفية أيضًا "واضحة الأقواس "لأن اللون المقصود به تقليد لون الأسنان ، لذا فإن الأقواس أقل وضوحًا. عادة ما يتم اختيار هذه الأقواس من أجل أسباب تجميلية.
نعم ، المثبتات ضرورية بعد تقويم الأسنان للحفاظ على أسنانك في الوضع المناسب. من المحتمل أن تحتاج إلى ارتداء أدوات التثبيت الخاصة بك طوال الوقت لبضعة أشهر ثم في الليل لفترة أطول. يوصي بعض أطباء تقويم الأسنان بارتداء أدوات التثبيت في الليل لبقية حياتك للحصول على أفضل النتائج. عدم ارتداء يمكن أن تسمح المثبتات لأسنانك بالرجوع إلى ما كانت عليه سابقًا تؤدي إلى جولة أخرى من التقويم.
عادة ، كل ستة أسابيع، لكن أخصائي تقويم الاسنان يخبر كل مريض بالمدة الزمنية الأنسب لحالته.
يجب تجنب الأطعمة اللزجة والمضغوطة مثل الكراميل وكذلك الأطعمة الصلبة. حيث يمكن أن يضر ذلك الدعامات والأسلاك، مما يتطلب المزيد من الاستشارات ويطيل فترة العلاج.
يجب استشارة طبيب أسنانك قبل امبدء في علاج تقويم الاسنان ملتأكد من أن مثتك صحية وخامية من امتسوس . يجب أن ترى طبيب أسنانك كل ستة أشهر أثناء علاج تقويم الاسنان. إذا كنت تواجه مشكلة في تنظيف أسنانك أو كان مديك تاريخ من تسوس الاسنان، فاستشر طبيب أسنانك كل ثلاثة أشهر أثناء ارتداء تقويم الاسنان.
يمكن أن يستغرق العلاج ما بين ستة إلى 30 شهرًا حتى كاملة ، ولكن هذا يختلف بشكل كبير حسب العلاج الذي تستخدمه إختر. يمكن أن يختلف أيضًا إذا كانت مشكلتك أكثر خطورة في طبيعتها.
يقرر العديد من الأشخاص تصحيح الأسنان المنحرفة أو المنحرفة إلى تحسين مظهرهم. هذا سبب تجميلي. ولكن هناك أيضا أسباب صحية. العناية الجيدة بالفم يصعب القيام بها عندما تكون الأسنان ليست مستقيمة. أيضًا ، يمكن أن تتلاشى مشاكل عضتك مينا الأسنان وتؤذي اللثة والفكين. في النهاية ، أنت يمكن أن يعاني من مشاكل في المضغ وحتى الكلام



