اكتشف وضوح صحة الأسنان
مع
الأشعة السينية للأسنان
ادخل إلى عالم تشخيص الأسنان المتقدم في عيادة ليفانتين لطب الأسنان في دبي. توفر تقنية الأشعة السينية الحديثة الخاصة بنا رؤية واضحة ومفصلة وشاملة لصحة فمك. يتم إجراء الأشعة السينية للأسنان من قبل أطباء الأسنان الخبراء ، وهي طريقك للحصول على ابتسامة أكثر صحة.
احصل على أشعة الأسنان في دبي
إذا كنت تعاني من مشاكل الأسنان ، فإن الأشعة السينية للأسنان هي إجراء موصى به لتضمينه في خطة علاج الأسنان الخاصة بك. يوفر رؤية دقيقة لأسنانك ويمكن أن يساعد في تحديد أي مشاكل والتخلص منها بسرعة. في حين أنه قد يكون من الصعب التعامل مع مشاكل الأسنان على الفور ، فإن الطبيعة التفصيلية للأشعة السينية للأسنان تسمح لأخصائيي الأسنان بتحديد المشكلات بدقة كاملة وتقديم العلاج المناسب. من خلال اختيار الأشعة السينية للأسنان ، يمكنك التأكد من أنه سيتم تحديد أي تحديات محتملة ومعالجتها على الفور ، مما يسمح لك بالتركيز على الخطوات اللازمة للحفاظ على صحة فمك.
هل الأشعة السينية للأسنان آمنة؟
نعم ، إجراءات أشعة الأسنان مصممة لتكون آمنة. إنها جيدة جدًا حتى للأطفال ، لذلك لا داعي للقلق بشأن أي منها
سلبيات محتملة أو مشاكل مماثلة. عليك أن تفعل كل ما في وسعك لحل المشكلة بأسرع ما يمكن.
تطورت إجراءات الأشعة السينية للأسنان كثيرًا في العقود القليلة الماضية ، والآن يمكننا بسهولة رؤية أسباب مشاكل الأسنان
و كيف يمكنك التعامل معهم كل ما عليك فعله هو التأكد من أنك تتعامل مع هذا بدقة كاملة ويمكن أن تكون النتائج
لا يعلى عليها في النهاية.
إذا كنت تعاني أنت أو طفلك من ألم شديد في الأسنان ، فمن الجيد اختيار أشعة سينية للأسنان في أسرع وقت ممكن. بهذه الطريقة أي طبي
يمكن للمهنيين تحديد المشكلة والتعامل معها بأسرع وقت ممكن. افعل ذلك وستكون قادرًا على حل مشاكل صحة الأسنان بسرعة كبيرة!
ما الذي يمكن أن تقدمه لك الأشعة السينية؟
تحديد التسوس
الأشعة السينية للأسنان قادرة على تحديد التجاويف وتقييم حالتها الحالية. بالإضافة إلى ذلك ، يمكن أن يوفر رؤية لجذور الأسنان ، وهو أمر حاسم في تحديد ما إذا كانت العناية الإضافية ضرورية.
صحة منطقة العظام
يمكن للأشعة السينية للأسنان أيضًا التحقق من صحة العظام المحيطة بالسن وتحديد ما إذا كانت أمراض اللثة عاملاً مساهماً. علاوة على ذلك ، يمكن أن يساعدك على فهم أسباب نمو الأسنان ، والتي يمكن أن تكون مفيدة لصحة فمك على المدى الطويل.
مراقبة صحة الفم
أنواع الأشعة السينية للأسنان:
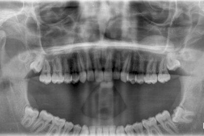
بانورامي
سيفالوميتريك
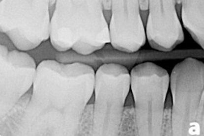
العض
نطاقي
أوكلوسال
CBCT
شركاؤنا في التأمين
أسئلة متكررة
أطباء الأسنان حساسون لمخاوف المريض من التعرض للإشعاع من الأشعة السينية. سيقومون بإجراء الأشعة السينية فقط عندما تكون ضرورية للغاية. تعتبر الأشعة السينية للأسنان آمنة عندما
يتبع طبيب أسنانك الأساليب والإجراءات المناسبة لتقليل تعرضك للإشعاع.
شعاع الأشعة السينية على هذا الجهاز شديد التركيز بحيث يقلل من الإشعاع المتناثر للسماح لأطباء الأسنان برؤية صور أفضل لأسنانك مع تقديم جرعات منخفضة من الإشعاع. لا داعي للخوف من الأشعة السينية! سوف تشكرك أسنانك ولثتك على الحصول عليها.
'atibaa' al'asnan hasaasun limakhawif almarid min altaearu
يمكن لفحص الأسنان الجسدي أن يعطي طبيب أسنانك نظرة محدودة فقط على صحة فمك. تُستخدم الأشعة السينية جنبًا إلى جنب مع الفحص البدني وتعمل كأداة تشخيصية مهمة.
إنها توفر لطبيب أسنانك القدرة على الرؤية بين أسنانك وتحت خط اللثة وجذور أسنانك.
إذا لاحظ طبيب أسنانك أي مشاكل تتعلق بصحة الفم أثناء عمليات الفحص ، فيمكنه أن يوصي بخطة علاجية بسهولة أكبر حتى لا تتفاقم مشاكل الأسنان لديك.



