احصل على ابتسامتك المشرقة
مع
فينير الأسنان
غير ابتسامتك مع الفينير في عيادة ليفانتين للأسنان في دبي. يصنع أطباء الأسنان الخبراء لدينا قشورًا خالية من العيوب لتعزيز جماليات ابتسامتك. هل أنت جاهز للحصول على ابتسامة مثالية للصور؟ حدد موعدًا لاستشارة الفينير اليوم!
Clinic for Dental Veneers in Dubai
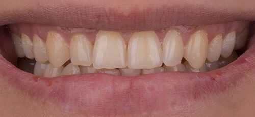
فينير الأسنان حل رائع للمرضى للحصول على الابتسامة المرجوة. إنها خيار شائع جدًا ، خاصةً للمرضى الذين يعانون من تشقق الأسنان أو وجود فجوة بين الأسنان أو الأسنان المعوجة.
ما هو فينيير الأسنان
قشرة الأسنان هي طبقة رقيقة تناسب الأسنان تمامًا. يتم عمل قشرة الأسنان لإضفاء مظهر أكثر جاذبية. لذلك ، تهتم عيادة ليفانتين لطب الأسنان بأن يشعر مرضاها بالرضا والثقة بابتساماتهم. نحن نقدم مجموعة متنوعة من بدائل قشرة الأسنان للاختيار من بينها.
فينير الكومبوزيت
فينير الكومبوزيت هو نوع من أنواع العلاج التجميلي للأسنان، و الكومبوزيت هي حشوة تقوم بتوفير الدعم للسن وتظهره بلون طبيعي. حشوات الكومبوزيت هي الأكثر استخداماً في حالات النخر والتسوس أو حالات أخرى.
علاوة على ذلك، تتطلب الفينيرالمركبة زيارات أقل لطبيب الأسنان مقارنة بالفينير الخزفية، وفي حالة تعرضها للأذى، يمكن لطبيب الأسنان حل الضرر بسهولة.
علاوة على ذلك، تتطلب القشور المركبة زيارات أقل لطبيب الأسنان مقارنة بالقشور الخزفية، وفي حالة تعرضها للأذى، يمكن لطبيب الأسنان حل الضرر بسهولة.
فينير البورسلين
فينير البورسلين هو الفينير الأكثر انتشاراً، ومتوسط العمر الافتراضي لفينير البورسلين هو 10 سنوات وفي بعض الحالات يمكن أن يدوم لفترة أطول. من الجدير ذكر مزايا فينير البورسلين، حيث يعطي هذا النوع من الفينير مظهراً طبيعياً لاسنان المريض، كما أن قشور فينير البورسلين متينة ورقيقة جداً وتحتاج لإزالة طبقة بسيطة من مينا الاسنان. بالإضافة إلى أن قشور فينير البورسلين تقاوم التصبغ وتحافظ على لونها لفترة زمنية طويلة.
يخضع المريض للتقييم خلال الزيارة الأولى ويحصل على خطة العلاج. خلال الزيارة الثانية ، يتم أخذ طبعات أسنان المريض لتحضير الأسنان ويحصل المريض على قشرة مؤقتة لارتدائها حتى الزيارة الثالثة. خلال الزيارة الثالثة والأخيرة ، يتم وضع قشرة البورسلين.
Veneers Offers in Dubai
عيادة ليفانتين لطب الأسنان لديها عروض مختلفة من الفينير في دبي بسبب نطاق خدماتها الواسع في مجال طب الأسنان التجميلي وخبرتها في طب الأسنان لإعادة التأهيل الكامل للفم. علاوة على ذلك ، قامت عيادتنا بإجراء أكثر من 5000 حالة قشرة. عندما يقوم فريق متخصص في طب الأسنان التجميلي ، مثل الفريق في عيادة ليفانتين لطب الأسنان ، بإجراء عمليات الفينير ، فإن النتائج تبدو طبيعية بشكل غير عادي. يقوم فريقنا بتقييم حجم وشكل ولون كل قشرة بعناية ويطبقها بعناية لتحقيق نتائج استثنائية.
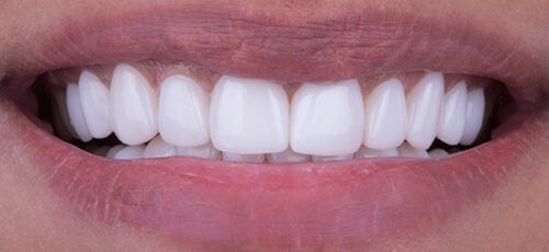
مزايا فينير الاسنان
تصحح فينير الاسنان عيوباً قد تكون واضحة على الاسنان، مثل الكسور الصغيرة والبقع الداكنة وتغير لون الاسنان والفراغ بينها حيث يمكن أن تتراكم البكتيريا وبقايا الطعام وتسبب التسوس أو أمراض أخرى.
- ابتسامة ناصعة البياض
- المناعة ضد تغير اللون
- تقوية الاسنان الطبيعية بشكل أكبر
- إجراء سهل وبسيط لا يتطلب مجهود عالي
- تعزيز الثقة بالنفس
- ديمومة الفينير
الأسئلة المتكررة
يتم تصنيع الفينير في معمل الأسنان باستخدام طبقة رقيقة جداً من الخزف. ويتم إيلاء اهتمام كبير بالتفاصيل الدقيقة لكي تبدو القشور وكأنها واقعية. وسيقوم طبيب الأسنان قبل صنع القشور بأخذ طبعة أسنانك ونموذج لأبعاد الفم لكي يكون حجم وشكل القشور صحيحاً. ثم يتم في النهاية استخدام دليل للظل لاختيار أنسب لون لك للتأكد من أنه سيبدو طبيعياً ويبناسب أسنانك الأخرى.
سيقوم طبيب الأسنان بعد الكشف بشرح نوع القشرة المناسب لك ثم سيأخذ بعض الصور ويقوم بعمل تصميم رقمي لأسنانك بوضعية الابتسامة، ثم يقوم بصنع نموذج مشابه لأسنانك، ويقوم بعد ذلك باطلاعك على دليل الألوان لتختار أنسب لون للقشور، وبعدها يقوم الطبيب بتحضير وتركيب القشور.
لا ، ليسوا عرضة للتسوس. تجعل قشور الأسنان أسنانك محصنة ضد التسوس حيث أن القشرة تلتصق بأسنانك الطبيعية. ومع ذلك ، يجب أن تعتني بأسنانك غير المحدودة بحيث لا توجد فرصة للتجويف.
عادةً ما تدوم القشرة حوالي 5-10 سنوات. لا يحتاجون إلى أي رعاية خاصة بخلاف التنظيف المنتظم بالفرشاة والخيط وزيارات أخصائي التعويضات السنية. إذا تم الاعتناء بهم بشكل صحيح ، فيمكنهم الاستمرار لفترة أطول. يوصى بشدة بالتنظيف الاحترافي كل 6 أشهر والامتحانات السنوية.
Veneers are one of the most effective cosmetic dental treatment, made of a strong and durable material which makes them long-lasting. They have a natural appeal and don’t look fake. Moreover, veneers are stained resistant and he recovery period post-treatment is quite minimal. They are indeed the perfect investment if you are looking to improve your smile, while also reaping the various dental
health benefits.
يجب أن يزيل طبيب أسنانك جزءًا من مقدمة أسنانك لربط القشرة بها بشكل صحيح. لذلك ، لا يمكن عكس القشرة. بمجرد تثبيتها ، ستحتاج إلى إبقائها على أسنانك.



