Achieve The ideal Alignment
With the
EON ALIGNER
Step into the world of advanced orthodontics at Levantine Dental Clinic in Dubai. Our EON Aligner system offers a discreet, comfortable, and effective solution for your smile. Administered by expert dentists, EON Aligners are your key to a perfectly aligned smile.
Clear Aligners in Dubai
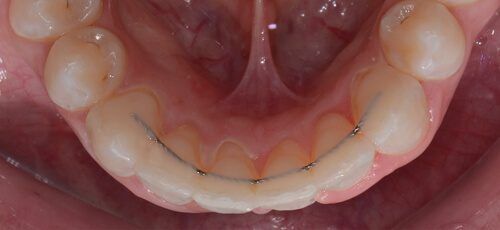
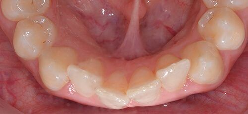
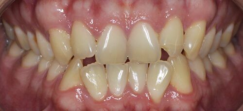
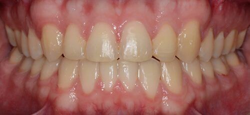
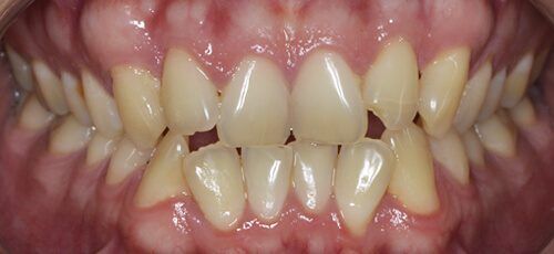
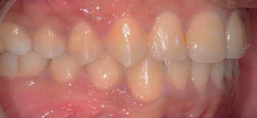
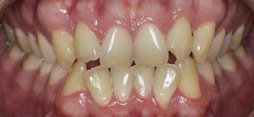
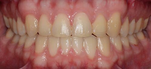
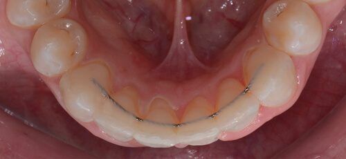
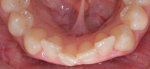
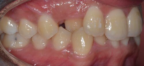
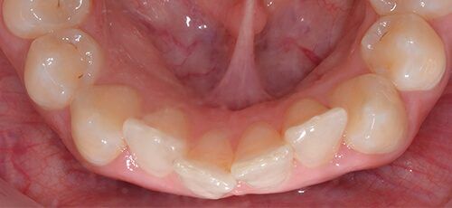
Eon aligners are clear, removable aligners that straighten and align teeth, making dental treatment more pleasant and sanitary. They are a clinically proven alternative to braces and offer personalized treatment plans using superior materials. Eon aligners are successful in curing malocclusions and can be worn for one or two weeks. Dentists will periodically assess progress and supply new aligners.
- INVISIBLE
- REMOVABLE
- COMFORTABLE
What are the Benefits of EON Aligners?
Clear and undetectable braces
- Clear and undetectable material, allowing for discreet treatment.
- Removable, making brushing and flossing easy and allowing patients to eat whatever they want.
- Equally as effective as traditional braces in treating malocclusions.
- State-of-the-art technology for comfortable and effective treatment of malocclusion.
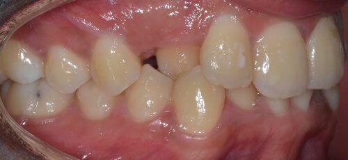
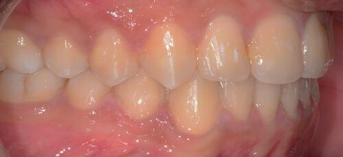
How Does EON Invisible Aligner Work?
Eon Aligners, like braces, function by gradually shifting the position of the teeth. Each treatment plan will contain a set of aligners that have been meticulously crafted to gradually straighten the patient’s teeth. Our expert dentists will recommend the appropriate amount of aligners to wear over a particular time period to achieve the desired outcomes, based on the severity of each case.
- 20 Years of Experience
- Certified EON Aligner Provider
- Certified Invisalign® Provider
- Certified Incognito™ Provider
Highly accomplished orthodontist holds a Master’s degree in Orthodontics from European University College and possesses a specialty certificate from the prestigious Malmo University in Sweden, renowned for its excellence in the field of orthodontics. Compliant with the rigorous standards set by the Swedish national board, Dr. Amer has garnered a wealth of expertise spanning over 20 years in this specialized realm of dentistry.
Why Eon?
There are many reasons why you should consider eon Aligner instead of metal, ceramic, incognito or lingual braces.
Frequently Asked Questions
eon Aligner is made from medical grade, FDA approved, polyurethane material that has a longer active force, facilitating teeth movement.
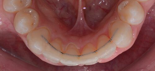
Your teeth might have a tendency to relapse slightly at the end of your treatment. Your eon Aligner treatment provides you with a retainer aligner at the end of your treatment period that we recommend you wear for a certain period of time depending on your case to discourage any unwanted movements.
Again, each orthodontic case is different – but we usually recommend a visit every 4-8 weeks to ensure that the treatment is progressing as planned.
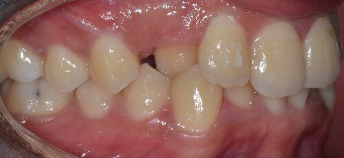
Attachments and IPR are common dental practices that help your treatment progress. In some cases, doctors perform movements on smaller teeth, which are often too small to allow for enough grip. Here, attachments can help the aligner generate enough force to enact the movements. These small pieces of enamel-colored composite are affixed to the teeth, then gripped by the aligners. IPR, short for interproximal reduction, is performed when a doctor wants to create a bit of space between teeth to enable movements by gently flattening contact surfaces.
Times vary depending on each case, but the average treatment time with clear aligners is 13 months. Once your orthodontic treatment is over, you will wear a retainer at night for a certain period of time depending on your case.
The more you wear clear braces, the better the results. Our patients aim to wear aligners for at least 22 hours a day, removing them only when eating, brushing and flossing.
Cleaning eon Aligners is easy: use a soft toothbrush and water, to prevent unnecessary odor and possible staining, once a day, while your regular teeth brushing.
No, eon Aligners are only 0,3mm thin, and each aligner is customized for your treatment plan, so it will not change the way you speak.


