The ideal Alignment
With
CERAMIC & METAL BRACES
Step into the world of advanced orthodontics at Levantine Dental Clinic in Dubai. Our Ceramic and Metal Braces offer a robust, effective, and personalized solution for your smile. Administered by expert dentists, these braces are your key to a perfectly aligned and confident smile.
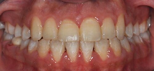
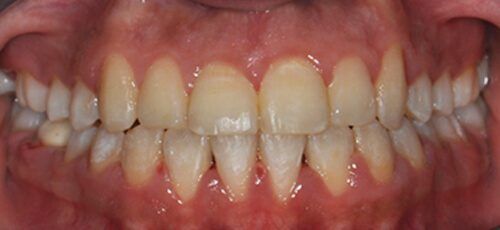
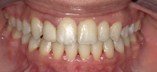
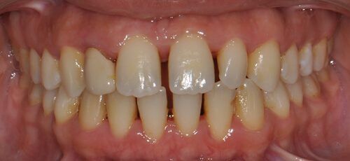
Ceramic and Metal Braces in Dubai
When evaluating the many orthodontic treatment choices now available, one major question that we are frequently asked is: what is the difference between metal braces and ceramic braces?
While these two treatment choices have a lot in common, they also have a lot of differences, such as appearance, use, and cost. Continue reading to discover more about these treatment choices and to choose which one is best for you.
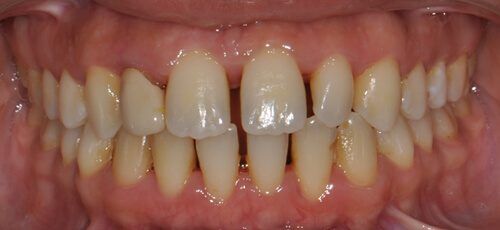
Ceramic Braces
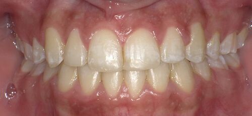
Because ceramic braces have a similar design to regular metal braces, they perform similarly. Although treatment periods may be longer, they can cure the same types of complicated malocclusions. Moreover, they assist with the correction of terrible bites.
Adults who choose a less noticeable treatment alternative than traditional braces are particularly fond of ceramic braces. The appliances are both subtle and effective since they are made of transparent or tooth-colored materials. Ceramic braces may also be a better alternative if you have a metal allergy yet require your orthodontic treatment to complete intricate tooth motions, such as gently moving a tooth down into alignment.
Metal Braces
Differences Between Ceramic and Metal Braces?
Ceramic and metal braces have different looks Metal braces are noticeable, as previously stated. When someone is putting on dental braces for teeth corrections, the rubber bands and brackets are visible from a distance. Ceramic braces, on the other hand, are virtually undetectable. They can be transparent or tinted to match the color of your teeth. It is difficult to see that you are wearing dental braces from a distance.
Durability
Metal braces are strong and can withstand a lot of strain without breaking or needing to be repaired. Ceramic braces, on the other hand, are a different story. They are vulnerable to harm if you put too much pressure on them. Ceramic braces are not recommended if you participate in a high-intensity activity where your mouth is subjected to excessive pressure, such as boxing. Ceramic braces may be quite expensive to maintain.
Strength
Metal braces are still the strongest. Ceramic braces are sturdy, although they are not as strong as metal dental braces.
Dr. Amer Nahas
- 20 Years of Experience
- Certified EON Aligner Provider
- Certified Invisalign® Provider
- Certified Incognito™ Provider
Highly accomplished orthodontist holds a Master’s degree in Orthodontics from European University College and possesses a specialty certificate from the prestigious Malmo University in Sweden, renowned for its excellence in the field of orthodontics. Compliant with the rigorous standards set by the Swedish national board, Dr. Amer has garnered a wealth of expertise spanning over 20 years in this specialized realm of dentistry.
Metal and Crystal Braces FAQs
For the first couple of days after receiving braces, it may be unpleasant or even painful. You will become used to wearing braces in no time.
read more about Do braces hurts
Surely, yes. If you don’t, your teeth may revert to their original position.
You don’t need to follow a special diet, but a healthy diet is best. If you have traditional braces, you can eat most of what you normally do. However, you should avoid foods that are sticky, like
gum, and hard foods like apples. Sticky and hard foods can damage braces and make oral care more challenging. There are no food restrictions for aligners because you take them out when you eat.
Traditional metal braces are brackets that are attached to front of teeth with an adhesive and connected by a wire. When you come in for follow up appointments during treatment, the wire is tightened to help the progression of improving the alignment of your teeth.
Crystal or ceramic braces work in a very similar way to traditional braces. A bracket is placed on your tooth and the brackets are connected by a wire that is tightened at follow up
appointments. The difference between ceramic braces and metal braces is the color. Ceramic braces are also called “clear braces” because the color is meant to mimic tooth color, so the
braces are less visible. These braces are typically chosen for cosmetic reasons.
Some orthodontists recommend wearing your retainers at night for the rest of your life for best results. Failing to wear your retainers could allow your teeth to shift back into their previous
positions, leading to another round of braces.
Usually, every six weeks in general, but the orthodontist will tell each patient how often is best for their case.
You should avoid sticky and chewy foods like caramel as well as extremely hard foods to eat. These can harm braces and wires, requiring more consultations and lengthening your treatment period.
You should consult your dentist before beginning orthodontic treatment to ensure that your gums are healthy and free of cavities. You should see your dentist every six months during orthodontic treatment. If you have trouble cleaning your teeth or have a history of tooth decay, see your dentist every three months while wearing braces.
Treatment can take anywhere between six and 30 months to complete, but this widely varies depending on the treatment you choose. It also can vary if your issue is more severe in nature.
Many people decide to correct crooked or misaligned teeth to improve their appearance. That’s a cosmetic reason. But there are also health reasons. Good oral care is harder to do when teeth
aren’t straight. Also, problems with your bite can wear down tooth enamel and harm your gums and jaws. Eventually, you could have problems with chewing and even talking.



