Nice Smile
WITH BRAND
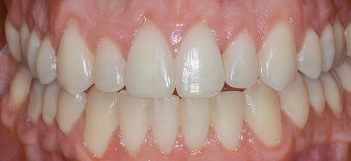
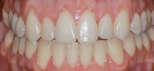
INVISALIGN® aligner
Step into the world of advanced orthodontics at Levantine Dental Clinic in Dubai. Our Invisalign system offers a discreet, comfortable, and effective solution for your smile. Administered by expert orthodontists, Invisalign is your key to a perfectly aligned, virtually invisible transformation.
How To Get Invisalign ?
Consultation
Have a discussion with the patient to determine if Invisalign is the suitable orthodontic treatment for them.
Custom treatment plan
The treatment plan outlines how the patient's teeth will shift and the estimated duration to achieve the desired alignment.
Transmission to Invisalign laboratory
The Invisalign laboratory utilizes the provided information to fabricate the patient's personalized aligners.
Creation of personalized aligners
These aligners are specifically designed to gradually correct the patient's orthodontic issues.
- 20 Years of Experience
- Certified EON Aligner Provider
- Certified Invisalign® Provider
- Certified Incognito™ Provider
Highly accomplished orthodontist holds a Master’s degree in Orthodontics from European University College and possesses a specialty certificate from the prestigious Malmo University in Sweden, renowned for its excellence in the field of orthodontics. Compliant with the rigorous standards set by the Swedish national board, Dr. Amer has garnered a wealth of expertise spanning over 20 years in this specialized realm of dentistry.
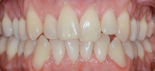
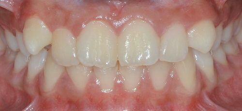
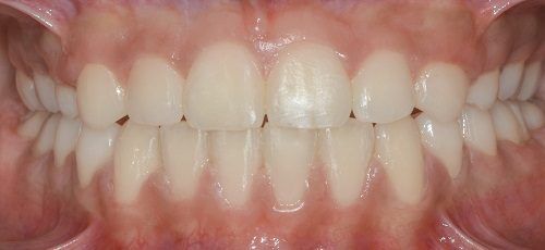
Numerous benefits that make Invisalign worth its cost
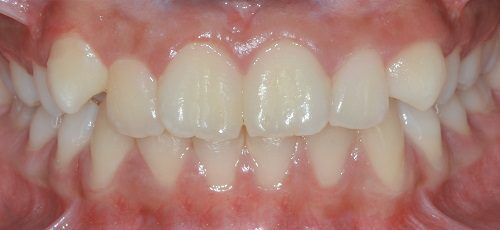
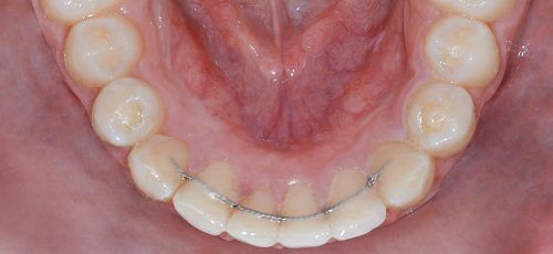
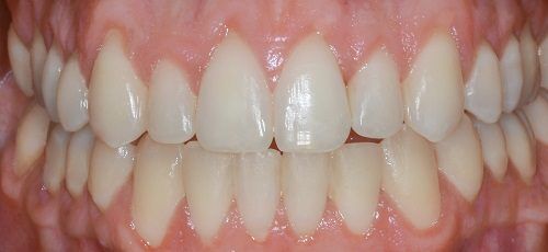
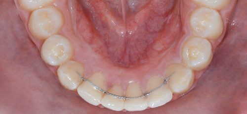
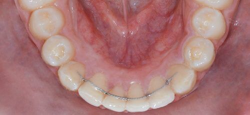
Invisalign treatment uses clear plastic aligners that are nearly invisible. These custom-fitted aligners address various dental conditions and offer advantages such as gradual, comfortable teeth alignment with minimal discomfort. Treatment duration varies based on severity, ranging from a few months to a couple of years. Regular appointments with the orthodontist monitor progress and provide new aligners as needed. Invisalign in Dubai is discreet and offers additional benefits.
REMOVABLE
It can be removed so you can eat and drink normally it also help you to brush and floss more effectively.FASTER RESULTS
Though it gradually adjuststeeth, it can still produce
visible results 50 percent
faster than other methods.
TEETH MOVEMENT
Does not cause sudden changesin your dental condition.
ENHANCED COMFORT
The aligners are made ofa smooth plastic material, so
users feel comfortable wearing them.
Benefits of Invisalign
- Enhanced appearance of teeth
- Increased self-confidence
- Better oral health
- Easier brushing and removal of food trapped between teeth
- Reduced risk of tartar and plaque build-up, tooth decay, and permanent tooth loss
- Prevention of jaw pain caused by an improper bite
- obtainable for individuals of all ages, including children, teenagers, and adults
Invisalign FAQs
Invisalign treatment is the process of wearing a series of clear,
removable aligners that gradually straighten your teeth. No
brackets and wires, and none of the restrictions that come with
metal braces.
Invisalign clear aligners are virtually invisible — people may not even notice you’re wearing them. You can remove them to eat and drink, to brush and floss, or for special occasions. There are
no metal brackets or wires that could irritate your mouth or break, sending you to your doctor for an emergency visit.
The length of treatment depends on multiple factors, like how complex your case is and how often you wear your aligners. Your doctor will determine exactly how long your treatment will take
based on your specific needs. On average, Invisalign treatment time is 12 to 18 months,though you can start seeing results in a matter of weeks.
Most patients have no problems at all however you may find there is a minor adjustment period while you get use to wearing the aligners.
Your doctor will create a unique, digital treatment plan that maps out the exact movements of your teeth. Your Invisalign clear aligners are then designed to apply the right amount of force to
the right place at the right time based on your plan. Your doctor will be with you every step of the way to monitor your progress and ensure your aligners fit correctly.
Yes! Invisalign treatment can be a great solution for both adults and teens looking for a virtually invisible method to improve their smile. Our innovations and technological advancements make it
possible to fix nearly all common teeth-straightening and bite issues, from simple to complex — all without interrupting your busy life. And, thanks to a discreet blue dot on the outside of teen
aligners, parents can be sure their child is wearing their clear aligners enough.
Because Invisalign aligners are nearly invisible, no one will even notice you’re in treatment (unless you tell them!) Invisalign aligners are also removable, which means you can eat and drink
whatever you like during the treatment. You can also remove your aligners to brush and floss your teeth so you can maintain the very best oral hygiene.



