يتساءل الكثير من الناس عما إذا كان استخدام تقويم الأسنان يمكن أن يغير أكثر من مجرد ابتسامتهم. من المعروف أن الأقواس المعدنية تعمل على تغيير محاذاة الأسنان وتعزيز صحة الفم. سوف تستكشف هذه المقالة الطرق المدهشة التي يمكن لتقويم الأسنان من خلالها إعادة تشكيل وجهك، مما يوفر فوائد جمالية وصحية.
اكتشف كيف يمكن للابتسامة الأكثر استقامة أن تحسن مظهرك بالكامل.
النقاط الرئيسية:
-
- يقوم التقويم بالضغط على الأسنان مما قد يعيد تشكيل خط الفك ويحسن تناسق الوجه، خاصة عند الأطفال والمراهقين أثناء نموهم.
-
- قد يؤدي علاج تقويم الأسنان، بما في ذلك تقويم الأسنان الشفاف والأقواس التقليدية، إلى تغيير مظهر الأنف بمهارة من خلال تحسين محاذاة الفك.
-
- التعديلات التي يتم إجراؤها بواسطة الأقواس لمحاذاة الأسنان يمكن أن تؤثر على وضعية الراحة للشفاه والفم، مما يعزز التوازن العام للوجه.
-
- يساهم تحسين محاذاة الأسنان من الأقواس في تحسين نظافة الفم، وتقليل مخاطر تسوس الأسنان وأمراض اللثة لتحقيق فوائد صحية طويلة المدى.
-
- بالإضافة إلى تقويم الأسنان، يمكن لتقويم الأسنان أن يعزز احترام الذات من خلال خلق ابتسامة أكثر جاذبية مما يؤثر بشكل إيجابي على الثقة في المواقف الاجتماعية.
فهم كيفية عمل التقويم
تعمل الأقواس عن طريق تحويل الأسنان تدريجياً إلى المحاذاة المطلوبة من خلال الضغط والقوة المستمرة. تساعد هذه العملية على تحسين محاذاة الوجه وبنيته بشكل عام.
تحريك الأسنان لتحسين المحاذاة
إن تحريك الأسنان هو جوهر علاج تقويم الأسنان. تطبق الأقواس المعدنية ضغطًا ثابتًا، مما يحرك أسنانك بلطف إلى مواقع أفضل. لا تعمل هذه العملية على تقويم الابتسامات الملتوية أو المزدحمة فحسب، بل تلعب أيضًا دورًا حاسمًا في تصحيح مشكلات العض.
مع مرور الوقت، يمكن أن يؤدي هذا التصحيح إلى تغييرات كبيرة في محاذاة الوجه وتماثله.
تعمل أجهزة تقويم الأسنان مثل إنفيزلاين على إصلاح الوجه غير المتماثل من خلال محاذاة الفكين بشكل أكثر دقة. توفر المقومات الشفافة طريقة شفافة وأقل وضوحًا من الأقواس المعدنية التقليدية لتحقيق وضع مثالي للأسنان.
مع كل مصفف جديد، يتم إجراء تعديلات طفيفة، مما يدفع الأسنان نحو موقعها المثالي. يعزز هذا التلاعب الدقيق بموضع الأسنان من تحديد خط الفك ويساهم في الحصول على مظهر أكثر توازناً لعظام الخد وملامح الوجه بشكل عام.
التغييرات في شكل الوجه من التقويم
يمكن أن يؤثر التقويم على شكل وجه الأطفال والمراهقين حيث أن أسنانهم وبنية الفك لا تزال في طور النمو، بينما قد يواجه البالغون تغيرات في الفك والأنف والشفتين والفم.
تعرف على المزيد حول كيف يمكن للأقواس أن تغير جماليات وجهك.
كيف يؤثر التقويم على الأطفال والمراهقين
التقويم يمكن أن يؤثر بشكل كبير على شكل وجه الأطفال والمراهقين من خلال توجيه نمو خط الفك، ومحاذاة أسنانهم، وتحسين التماثل العام للوجه. نظرًا لأن أسنانهم يتم تحويلها إلى محاذاة مناسبة من خلال علاج تقويم الأسنان، فقد يؤدي ذلك إلى تغييرات إيجابية في بنية الوجه.
تعمل الأقواس عن طريق الضغط على أربطة اللثة، مما يحفز إعادة تشكيل العظام وما يترتب على ذلك من تغييرات في مظهر الوجه. وهذا لا يعزز جماليات أسنانهم فحسب، بل يساهم أيضًا في الحصول على شكل وجه أكثر توازناً وتناغمًا مع نموهم إلى مرحلة البلوغ.
تخلق عملية استخدام الأقواس فرصة للمراهقين لتحقيق صحة فم محسنة مع التأثير بشكل إيجابي في نفس الوقت على تطور ملامح الوجه. يجب تشجيع المراهقين على التفكير في الفوائد طويلة المدى التي تتجاوز مجرد الأسنان الأكثر استقامة، بما في ذلك تعزيز الثقة بالنفس من خلال تحقيق مظهر أفضل للوجه من خلال تصحيح تقويم الأسنان.
كيف يؤثر التقويم على البالغين
عند البالغين، يمكن أن يكون لتقويم الأسنان تأثير كبير على شكل الوجه. يمكن أن يؤدي الضغط الذي يمارسه التقويم على الأسنان وخط الفك إلى تحسينات واضحة في جماليات الوجه.
مع علاج تقويم الأسنان، يمكن للبالغين تجربة تغييرات في بنية الوجه نتيجة لتحسين محاذاة الأسنان، والتي ثبت أنها تؤثر بشكل إيجابي على المظهر العام.
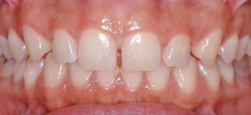
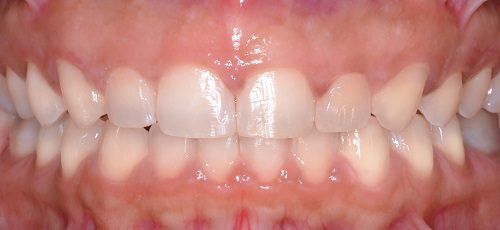
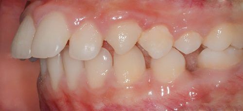
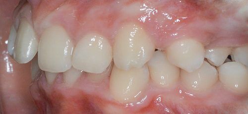
علاوة على ذلك، تظهر الصور قبل وبعد في كثير من الأحيان اختلافات ملحوظة في شكل الفك والوجه بعد علاج تقويم الأسنان للبالغين.
التغييرات المحتملة في بنية الوجه
يمكن أن تؤدي الأقواس إلى تغيير بنية الفك والأنف والشفاه/الفم. اتصل بنا لمعرفة المزيد حول كيف يمكن أن يفيد التقويم شكل وجهك.
الفك
يمكن أن تؤثر الأقواس على خط الفك عن طريق تصحيح المحاذاة الخاطئة وتحسين التماثل العام للوجه. يؤثر الضغط الذي يمارسه التقويم على الأسنان على بنية العظام الأساسية، مما يؤدي إلى تغييرات طفيفة في شكل خط الفك.
ونتيجة لذلك، قد يلاحظ الأفراد مظهرًا أكثر تحديدًا وتوازنًا في المظهر الجانبي السفلي للوجه. يساهم هذا التغيير في خط الفك في تحسين جمالية الوجه وتعزيز الثقة وتوفير نتائج مرضية.
تلعب إجراءات تقويم الأسنان مثل الأقواس دورًا حيويًا ليس فقط في إعادة تشكيل الأسنان ولكن أيضًا في تحسين ملامح الوجه بشكل عام، بما في ذلك تحديد ومحاذاة خط الفك للحصول على مظهر متناغم.
الأنف
يمكن أن يؤثر التقويم على شكل أنفك، خاصة في الحالات التي يكون فيها الانحراف غير صحيح بسبب مشاكل في الفك أو الأسنان. وبما أن التقويم يعمل على تصحيح هذه المخاوف وتحسين تناغم الوجه، فإن التغييرات في محاذاة الأسنان والفكين يمكن أن تؤدي إلى تعديلات طفيفة في موضع الأنف ومظهره.
الضغط الذي تمارسه الأقواس على أربطة اللثة أثناء علاج تقويم الأسنان لا يؤثر فقط على استقامة الأسنان، بل يؤثر أيضًا على ملامح الوجه المحيطة، بما في ذلك الأنف.
غالبًا ما يكون تأثير التقويم على شكل الأنف جزءًا من تحول أوسع يهدف إلى تعزيز جماليات الأسنان وتناسق الوجه بشكل عام. مع تحسين محاذاة الفك وتصحيح العضة، يمكن ملاحظة التغييرات ليس فقط في وضع الأسنان ولكن أيضًا في مظهر الأنف كجزء من شكل الوجه الأكثر تناغمًا.
الشفاه والفم
يمكن أن يؤثر التقويم على شكل شفتيك وفمك، خاصة إذا كانت هناك مشاكل في محاذاة العض. نظرًا لأن التقويم يعمل على تقويم الأسنان ومحاذاةها، فإنه يمكنه أيضًا تحسين وضع الشفاه والفم.
وهذا يؤدي إلى مظهر وجه أكثر تناغمًا حيث تستقر الشفاه معًا بشكل طبيعي.
يمكن أن يسبب الضغط الذي يمارسه التقويم على الأسنان تغييرات طفيفة في موضع الشفاه وبنية الفم بشكل عام مع مرور الوقت. تساهم هذه التعديلات في تحسين جماليات الوجه، وتعزيز الابتسامات وتوازن الوجه بشكل عام.
فوائد التقويم
لا تعمل الأقواس على تحسين صحة الفم وجماليات الوجه فحسب، بل إنها تعزز الثقة أيضًا. إذا كنت تريد معرفة المزيد عن فوائد تقويم الأسنان لصحتك العامة، فاتصل بنا اليوم.
تحسين صحة الفم
يقوم تقويم الأسنان بأكثر من مجرد تحسين ابتسامتك؛ كما أنها تساهم في تحسين صحة الفم. عندما تصبح الأسنان مصطفة بشكل صحيح من خلال علاج تقويم الأسنان، يصبح من الأسهل الحفاظ على نظافة الفم الجيدة.
من السهل تنظيف الأسنان المستقيمة بالفرشاة والخيط بشكل فعال، مما يقلل من خطر تراكم البلاك وتسوس الأسنان وأمراض اللثة. علاوة على ذلك، فإن تصحيح مشاكل العض باستخدام التقويم يمكن أن يخفف من آلام الفك ويمنع مشاكل الأسنان في المستقب
الحفاظ على صحة الفم الجيدة أمرًا ضروريًا للرفاهية العامة. من خلال المحاذاة الصحيحة لتقويم الأسنان، لن تحصل على ابتسامة جميلة فحسب، بل ستقلل أيضًا من خطر حدوث مشكلات محتملة في الأسنان في المستقبل.
تحسين جماليات الوجه
تحسين صحة الفم ليس هو الفائدة الوحيدة لتقويم الأسنان. يمكن أن تؤدي التغييرات في شكل الوجه المصاحبة علاج تقويم الأسنان أيضًا إلى تحسين جماليات الوجه. يضغط التقويم على أربطة اللثة، مما يؤدي إلى تغييرات إيجابية في خط الفك والأنف والشفتين.
وهذا يؤدي إلى مظهر أكثر توازناً للوجه وتعزيز الثقة لكل من البالغين والأطفال الذين يخضعون لإجراءات تقويم الأسنان.
ثبت أن تقويم الأسنان يؤثر بشكل إيجابي على شكل وجه الشخص من خلال إصلاح الأسنان المنحرفة، مما يؤدي إلى اختلاف ملحوظ قبل العلاج وبعده. يستطيع إنفيزالاين محاذاة الفكين وتحقيق التوازن في ملامح الوجه، مما يؤدي إلى تحسينات مذهلة تتجاوز مجرد تقويم الأسنان.
رفع الثقة بالنفس
لا يقتصر دور التقويم على تحسين جماليات الوجه فحسب، بل يؤدي أيضًا إلى تحسين صحة الفم. يمكن أن تؤدي الأسنان المستقيمة والمحاذاة إلى تعزيز الثقة، لأنها تخلق ابتسامة ومظهرًا أكثر متعة للوجه.
ويلعب هذا التغيير الإيجابي في النظرة الجسدية دورًا حاسمًا في تعزيز احترام الذات والثقة بالنفس، الأمر الذي يمكن أن يكون له تأثير كبير على التفاعلات الاجتماعية والرفاهية العامة.
علاوة على ذلك، فإن تحسين محاذاة الأسنان الناتجة عن التقويم يمكن أن يؤثر بشكل إيجابي على تناسق الوجه، مما يؤدي إلى تعزيز التوازن والانسجام بين ملامح الوجه. مع الثقة المتجددة التي تأتي مع تحسن المظهر، من المرجح أن يشعر الأفراد براحة أكبر في التعبير عن أنفسهم اجتماعيًا.
غالبًا ما تؤدي الراحة المكتشفة حديثًا إلى زيادة الحزم والإيجابية عند التعامل مع الآخرين.
– يمكن أن يكون تعزيز الثقة نتيجة لتحسين صحة الفم وتعزيز جماليات الوجه. تقويم الأسنان لديه القدرة على تغيير بنية الوجه بشكل إيجابي، مما يؤدي إلى تحسين المحاذاة، خاصة عند المراهقين والبالغين.
ولا تقتصر هذه التغييرات على الأسنان فقط؛ ويمكنها أيضًا التأثير على الفك والأنف والشفتين، مما يخلق مظهرًا أكثر توازناً وجاذبية للوجه. إن الضغط الذي يمارسه التقويم على أربطة اللثة هو المسؤول عن هذه التحولات المفاجئة في شكل الوجه.
علاوة على ذلك، توفر الصور قبل وبعد العلاج دليلاً على وجود اختلافات كبيرة في شكل الفك والوجه بعد علاج تقويم الأسنان. بالنظر إلى قدرتها على تغيير ابتسامتك وجاذبيتك العامة، فمن المفيد استكشاف كيف يمكن لتقويم الأسنان أن يعزز ليس فقط صحة فمك ولكن أيضًا جماليات وجهك.
في الخاتمة
في الختام، الأقواس لديها القدرة على تغيير شكل الوجه عن طريق محاذاة الأسنان والضغط على الرباط الداعم للأسنان. يمكن أن تؤدي التغييرات في الفك والأنف والشفتين إلى تحسينات مذهلة في جماليات الوجه.
لا يعمل علاج تقويم الأسنان هذا على تعزيز صحة الفم فحسب، بل يعزز الثقة أيضًا من خلال تحسين المظهر العام. يجب على المرضى الذين يفكرون في استخدام تقويم الأسنان استكشاف هذه الفوائد التحويلية لكل من المراهقين والبالغين الذين يبحثون عن تغييرات إيجابية في الوجه.
أسئلة متكررة
هل استخدام التقويم سيغير شكل وجهي؟
ما نوع التغيرات في الوجه التي يمكن أن أتوقعها من علاج تقويم الأسنان باستخدام الأقواس؟
هل يمكن إعادة تشكيل وجوه المراهقين من خلال ارتداء تقويم الأسنان؟
هل جميع أجهزة تقويم الأسنان تغير عظام الخد والوجه؟
المصادر:
https://atglenfamilydentistry.com/can-braces-change-your-face-shape/
https://www.azarkodental.com/site/dental-blog-edmonton/2022/10/30/can-braces-change-your-face-shape
https://www.innerwestorthodontics.com.au/blog/can-braces-change-face-shape


